SEOClerks

convert dicom ct mri to printable 3d stl models for $20

Level 1

convert dicom ct mri to printable 3d stl models

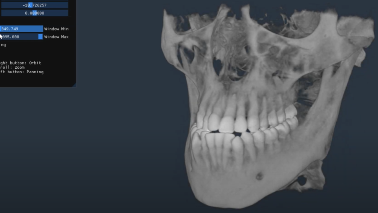
Are you looking to convert CT or MRI scans into accurate, 3D printable models?

I am a radiologist, and I specialize in transforming DICOM data into precise, clean, and fully printable 3D models.

My medical background ensures anatomical accuracy, proper segmentation, and clear communication especially important for clinical, educational, and research use.

Unlike generic 3D artists, I understand imaging data, pathology, and anatomical structures, which allows me to deliver reliable and meaningful results.

What I offer:

  • Conversion of DICOM (CT/MRI) to STL/OBJ files
  • Accurate segmentation (bone, organs, pathology when visible)
  • Clean, watertight meshes ready for 3D printing
  • Real-world scaling and proportions
  • Optimization for FDM or resin printing
Packages:

️ Basic Simple printable model (single structure)

️ Standard Clean, detailed model with optimization

️ Premium Advanced multi-part models for surgical or educational use

Why choose me?

  • Radiologist expertise = better accuracy
  • Clear communication with medical professionals
  • Understanding of scan quality and limitations
  • Reliable and print-ready results
Important:

  • Accuracy depends on scan quality
  • Data informations safety


What's included

Data AnalystProofreadingProject Management

Tags

dicom stl dicomtostl mri ct 3d printable

0.0

0 reviews

Rating breakdown


Other services by DoubleWin

$20 - In stock